Publicaciones
Te invito a adentrarte en el apasionante mundo de la traumatología veterinaria a través de conmovedoras historias de esperanza y cuidado. Aquí encontrarás una colección de casos clínicos que he atendido con dedicación y compromiso, cada uno con su propia historia única y valiosa.

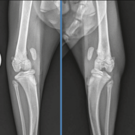
Tratamiento quirúrgico de luxación medial de rótula grado D en paciente felino en desarrollo: A propósito de un caso clínico.

Resolución de fractura antigua de fémur mediante un nuevo sistema de clavo bloqueado.

Fractura de Monteggia en paciente felino.

Asistencia al tratamiento quirúrgico de la anquilosis temporomandibular mediante guías customizadas de resina biocompatible: a propósito de cuatro casos clínicos.

Desviaciones angulares de los huesos largos en la especie canina.

Resolución de fractura de rótula mediante tornillo de compresión y placa bloqueada. A propósito de un caso clínico.

Análisis biomecánico de la primera reparación de una rotura del tendón de Aquilles en perros: Resultados preliminares.

Tratamiento simultáneo de rotura del ligamento cruzado anterior y luxación medial de rótula en la especie felina.
