Displasia de codo

ANATOMÍA RELEVANTE

La articulación del codo se encuentra compuesta por tres huesos: el húmero, el radio y el cúbito. La funcionalidad normal de la articulación se basa en que estos tres huesos “encajen” perfectamente (denominado congruencia articular).

DISPLASIA DE CODO

El término displasia de codo hace referencia a un desarrollo anormal del mismo, e incluye un conjunto de patologías que aparecen durante la fase de desarrollo del animal y que condicionan la anatomía y fisiología del mismo.

Con frecuencia se trata de una patología bilateral, es decir que afecta a ambos codos.

Las patologías que se incluyen dentro de este concepto son las siguientes, pudiendo aparecer de manera aislada o coexistir (lo más habitual) algunas de ellas:

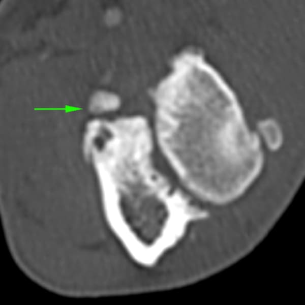
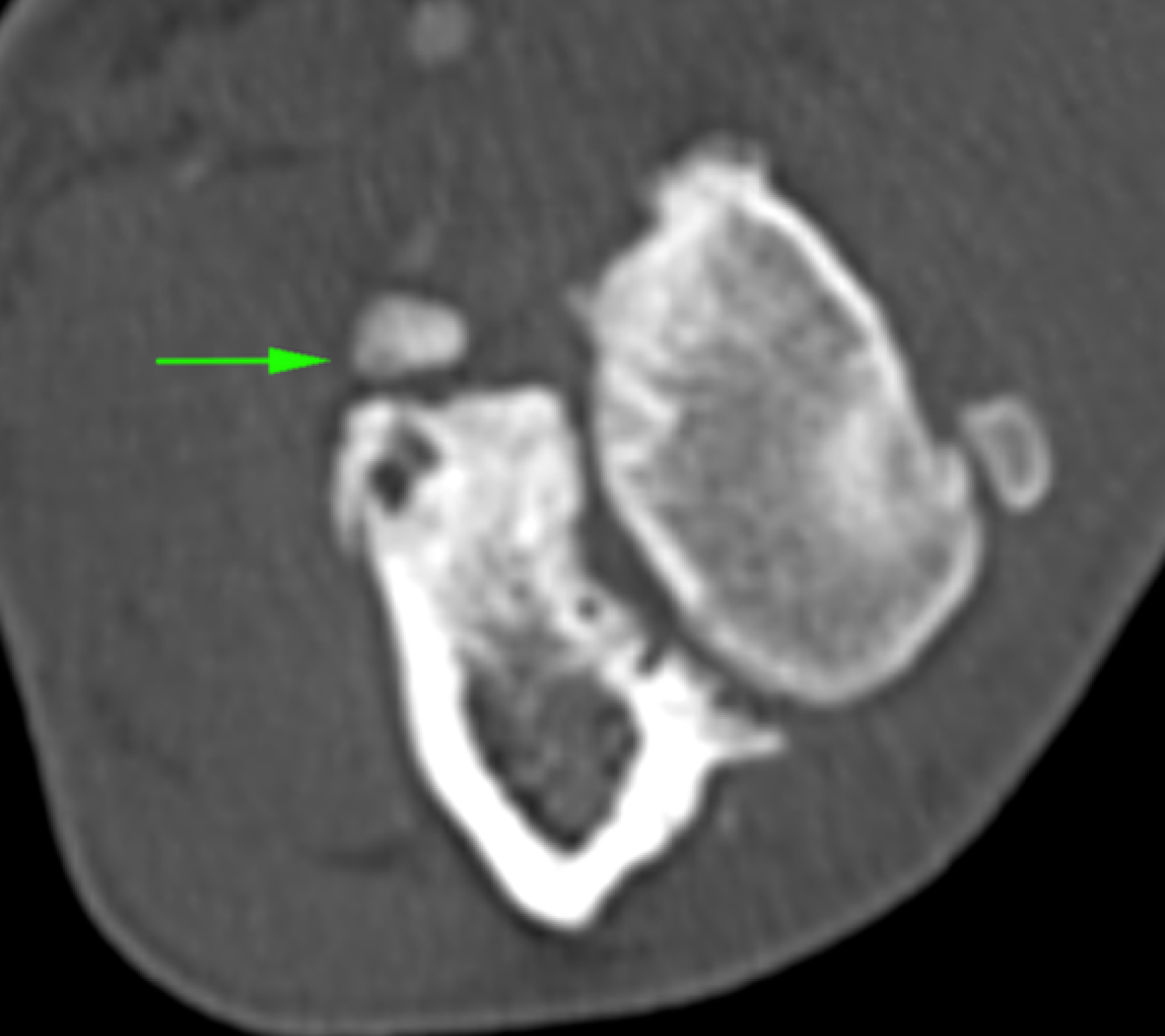
  • No unión del proceso ancóneo (NUPA): el proceso ancóneo del cúbito, que en muchas ocasiones posee un núcleo de osificación independiente al resto del hueso, no se fusiona después de los 5 meses de edad. En muchas ocasiones se relaciona con la incongruencia articular.
  • Enfermedad del proceso coronoides medial (EPCM): se trata de la condición más encontrada de todas las que se incluyen en la displasia de codo. El proceso coronoides puede encontrarse malformado, fisurado e incluso fragmentado. Como resultado de esta enfermedad y del roce anormal de dicha estructura con la superficie articular del cóndilo humeral medial, se produce un desgaste acelerado de las superficies cartilaginosas del aspecto medial del codo dando lugar al Síndrome del compartimento medial, el cual se ve favorecido por la sobrecarga que soporta la región interna de la articulación en condiciones fisiológicas.
  • Osteocondritis / Osteocondrosis (OCD): consiste una condición del desarrollo que ocasiona una disrupción en la diferenciación de las células del cartílago articular resultando en un fallo de la osificación endocontral (un proceso muy importante en el desarrollo del sistema esquelético dado que resulta en la formación de hueso). En perros que crecen muy deprisa, el cartílago crece más rápido de lo que pueden hacerlo los vasos sanguíneos para nutrirlo y como consecuencia causa esta patología. Produce cojera, dolor y una osteoartritis. 
  • Incongruencia de codo: hace referencia a una conformación anormal de las superficies articulares, normalmente a consecuencia de un radio o un cúbito más cortos de lo habitual, o bien a una incisura cubital más cerrada o abierta de lo normal.
  •  Otras patologías como la Enfermedad del Epicóndilo Medial (EEM) o la Osificación Incompleta del Cóndilo Humeral (OICH) podrían aparecer de forma simultánea, aunque no se incluyen en la displasia de codo.

SIGNOS CLÍNICOS

Se trata de una patología del desarrollo, en la cual los signos clínicos suelen aparecer en perros jóvenes en crecimiento (entre los 5 y 8 meses de edad), aunque estos pueden manifestarse más tarde.

  • Cojera de extremidad anterior tras realizar ejercicio y rigidez después del reposo.
  • Engrosamiento de los tejidos blandos de la articulación 
  • Endurecimiento del hueso, conduciendo a una reducción del dolor en algunos perros hasta alcanzar la madurez esquelética (entorno a los 10 – 14 meses).

El desarrollo de la osteoartritis tendrá lugar de forma temprana y puede presentar un progreso rápido en esos perros, por lo que la cojera vuelve a aparecer entre los  3 y 7 años de edad.

  • Atrofia muscular en la extremidad anterior.
  •  Molestias durante la manipulación del codo afectado.
  •  Inflamación alrededor de la articulación.
  •  Reducción del rango de movimiento articular.

En ocasiones, perros adultos se presentarán con cojera y / o con osteoartritis secundaria a la displasia de codo a pesar de no haber sido diagnosticada nunca a lo largo de su vida. 

DIAGNÓSTICO

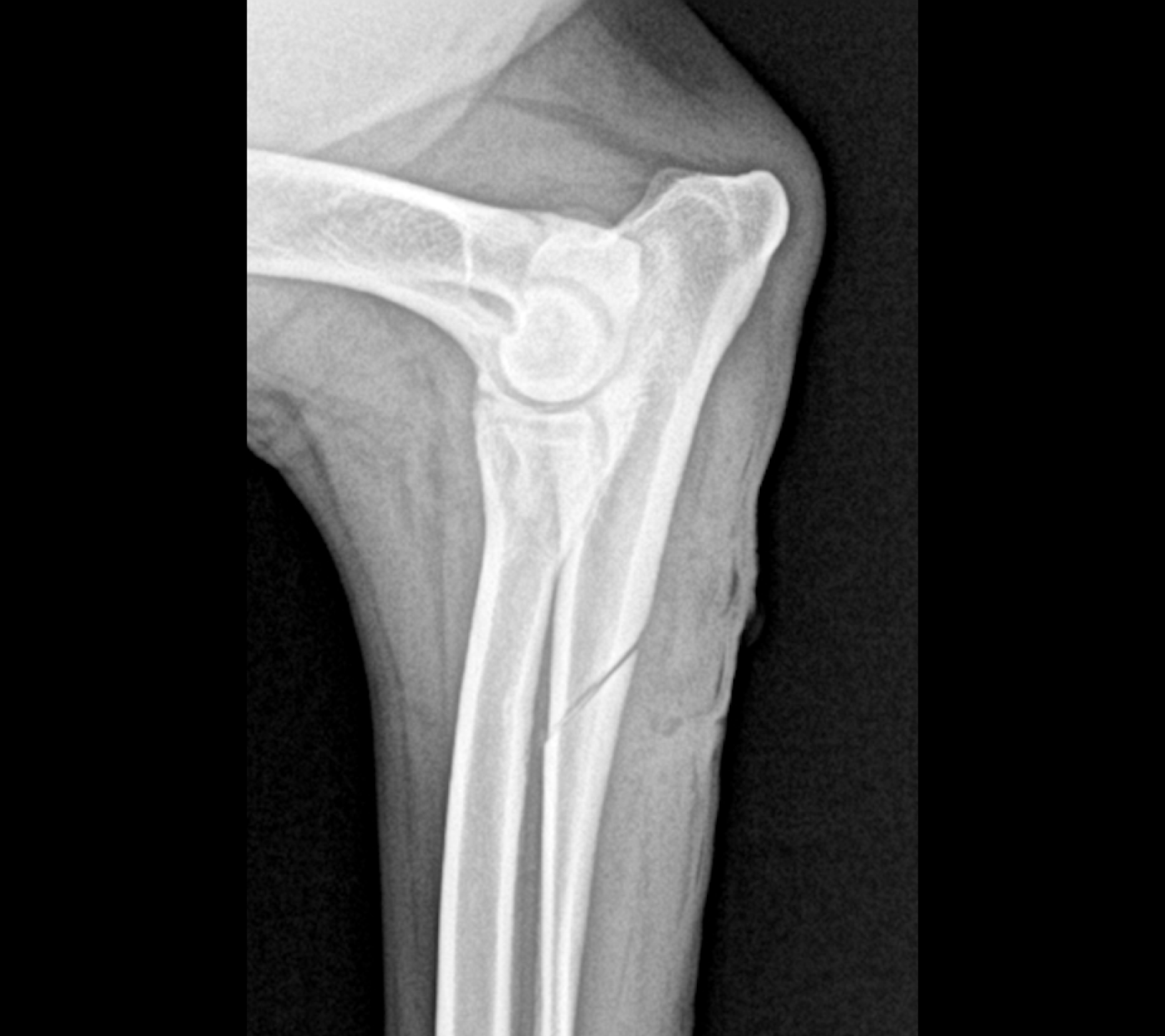
Los Rayos X pueden mostrar anormalidades en la congruencia articular y cambios óseos asociados a la displasia de codo. Sin embargo, existe superposición de estructuras óseas en las proyecciones convencionales, limitando la detección de alteraciones.

La Tomografía computerizada (CT) o TAC es la técnica por imagen de elección. El procesado avanzado de la imagen nos permitirá visualizar finos cortes de la anatomía y detectar pequeñas lesiones (por ejemplo, fragmentación del proceso coronoides), las cuales son difíciles de diagnosticar en radiografías convencionales.

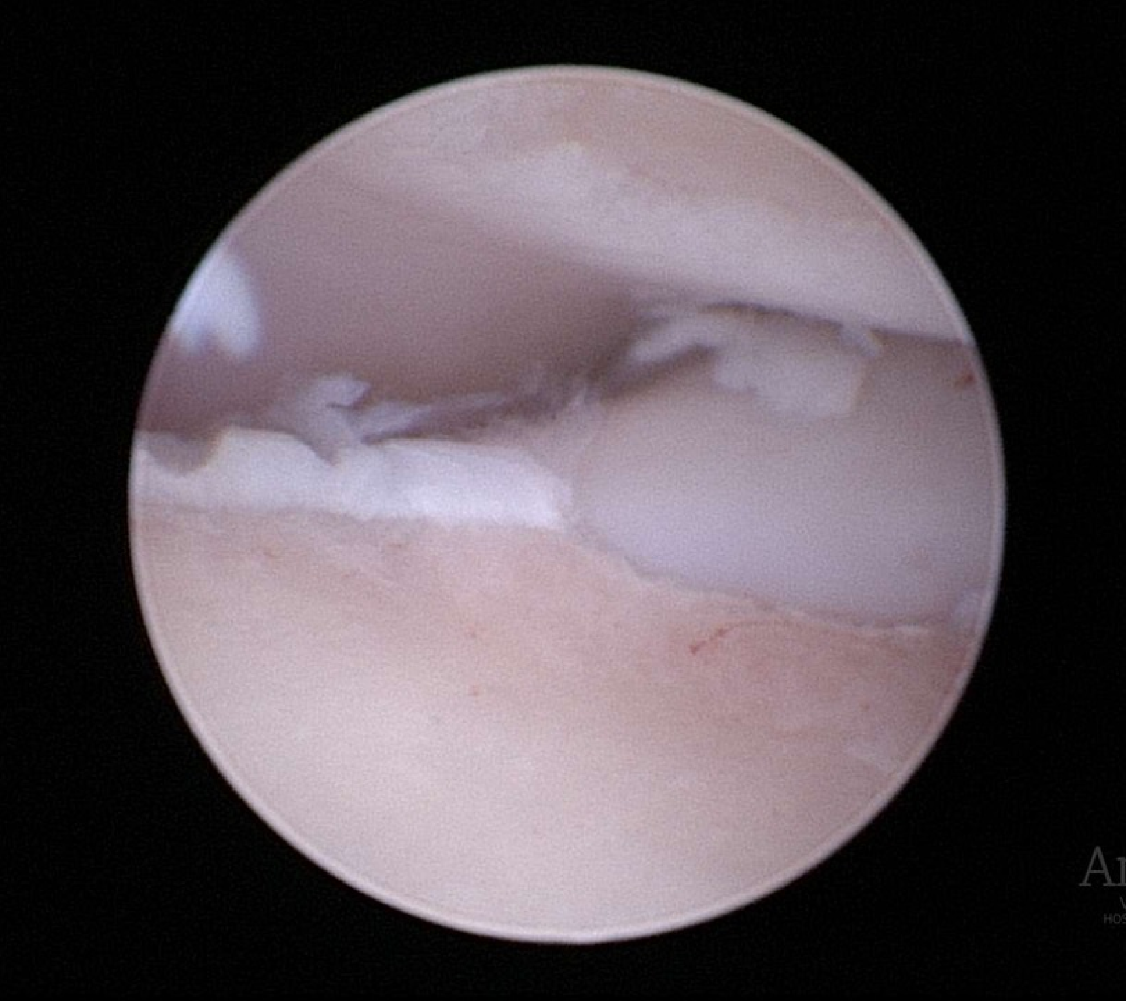
La artroscopia (introduciendo una pequeña cámara dentro de la articulación) supone un apoyo diagnóstico al TAC, ya que permite visualizar el cartílago articular (cosa que no hace el anterior). Al mismo tiempo permite tratar la mayoría de lesiones asociadas a la patología (retirar fragmentos, etc.)

TRATAMIENTO

Existe una opción terapéutica conservadora (reposo, control del peso, fisioterapia, condroprotección y medicación), destinado a pacientes adultos donde se descarta el tratamiento quirúrgico debido a la presencia de signos clínicos muy leves o a la presencia de una osteoartrosis secundaria importante. No obstante, este tratamiento (conservador) se emplea como apoyo al tratamiento quirúrgico. Esta la podemos simplificar en los siguientes puntos:

  •  Los perros con sobrepeso se deberán someter a dieta.  Será necesario el control regular del peso.
  •  Un programa de rehabilitación – fisioterapia diseñado específicamente para el paciente y dirigido por un fisioterapeuta veterinario, será beneficioso en la mejoría de la funcionalidad articular y en el confort del paciente. Así mismo se recomienda el establecimiento de un programa de ejercicio moderado.
  •  Fármacos antiinflamatorios: a día de hoy disponemos de una amplia variedad de productos cuyo objetivo es controlar el dolor crónico producido por la osteoartrosis, por lo que el veterinario será el encargado de administrar el fármaco o la combinación de ellos que mejor se adapten al paciente. 
  •  Suplementos nutricionales (nutracéuticos) como los condroprotectores (condroitín sulfato, glucosamina, ácido hialurónico).
  •  Como parte del manejo conservador, se pueden incluir diferentes protocolos de infiltraciones articulares con plasma rico plaquetas (PRP), ácido hialurónico o células madre.

TRATAMIENTO QUIRURGICO

  • La intervención quirúrgica es necesaria en perros que presentan cojera significativa, en aquellos que no responden de forma adecuada al tratamiento conservador en pocas semanas o en el que las imágenes obtenidas en las pruebas diagnósticas sugieran que el paciente se puede beneficiar. Éste tratamiento es complejo y deberá adecuarse a las condiciones ortopédicas presentes. A continuación se exponen las técnicas más empleadas:
  • RETIRADA DEL FRAGMENTO: La retirada de los fragmentos libres de cartílago y hueso puede reducir las molestias articulares. Ésto se puede llevar a cabo bien utilizando un artroscopio (técnica artroscópica) o mediante artrotomía (abordaje quirúrgico convencional a la articulación mediante una incisión). Actualmente es más habitual emplear el primer método pues se trata de una técnica de mínima invasión, donde entre otras ventajas, se consigue una recuperación más rápida en la mayoría de casos. Desafortunadamente la cojera puede llegar a no mejorar en algunos pacientes, siendo atribuible en muchas ocasiones a la presencia de incongruencia articular y / o una osteoartritis avanzada.
  • OSTEOTOMÍA CUBITAL: Ésta técnica permite mejorar la carga de peso en la articulación del codo en el perro joven, donde los tres huesos (húmero, radio y cúbito) no articulan de forma adecuada, debido a que el radio o el cúbito son más cortos.
  • TÉCNICAS DE DESCARGA DEL COMPARTIMENTO MEDIAL: Recientemente, se han desarrollado técnicas que persiguen cambiar la distribución de cargas de peso en el codo desplazándolas del compartimento medial (el que se suele ver más afectado), al lateral (PAUL; Proximal Abducting ULnar osteotomy). El procedimiento quirúrgico incluye la realización de una osteotomía y la utilización de implantes especiales. Estas técnicas se pueden utilizar en combinación a las ya explicadas. 
  • EXTRACCIÓN vs FIJACIÓN DEL PROCESO ANCÓNEO NO UNIDO: La primera opción (extracción) va a generar micromovimientos articulares que pueden favorecer la aparición de roces anormales en el codo. Se optará por este tratamiento cuando dicho proceso ancóneo se encuentre malformado, esclerótico, o en casos donde no sea posible su reducción anatómica. La segunda opción consistiría en la reducción y fijación (osteosíntesis) del proceso ancóneo, la cual se puede plantear cuando la forma y densidad del fragmento lo permitan, y siempre que no aparezcan signos degenerativos o estos sean mínimos. Generalmente cuando se opta por la osteosíntesis del ancóneo, se suele acompañar de una osteotomía cubital que permite que la posible asincronía del crecimiento entre radio y cúbito no interfiera en la consolidación.
  • CIRUGÍA DE RESCATE: En ocasiones la combinación de displasia de codo con osteoartritis severa en el perro adulto ocasiona dolor persistente de la articulación que no puede ser controlado ni mediante las técnicas convencionales ni con tratamiento conservador. Para estos casos existen alternativas de rescate como son las prótesis de codo total o parcial, y la artrodesis:
    • Prótesis de codo: sustitución total o parcial de la articulación.
    • Artrodesis de codo (fusión articular): permite conseguir una extremidad libre de dolor. La articulación se fusiona en un confortable ángulo de flexión, de forma que el paciente se adapta a esta condición de forma fácil balanceando la extremidad hacia un lado ligeramente. Sin embargo, el resultado funcional después de este procedimiento puede ser pobre. Pueden surgir complicaciones significativas después de este procedimiento (fracaso de implantes, fusión retrasada, etc.)

VIVIENDO CON LA DISPLASIA DE CODO

El pronóstico a largo plazo es reservado.

Algunos perros se beneficiaran desde la cirugía, gracias a la mejoría de la congruencia articular y / o a la eliminación de fragmentos (vía artroscópica o quirúrgica, como se ha descrito), pero incluso en esos casos, es posible detectar episodios de rigidez articular y cojera intermitente, especialmente después de realizar ejercicio, debido a la progresión inevitable de la osteoartritis / osteoartrosis.

Algunos perros pueden manejarse satisfactoriamente a largo plazo con tratamiento conservador (con o sin antiinflamatorios) y son capaces de mantener una calidad de vida aceptable.

Los procedimientos de rescate solo se llevarán a cabo en aquellos casos con cojera marcada y cuando el resto de alternativas de manejo hayan sido probadas.