Se le conoce también como osteocondritis y puede afectar a diferentes articulaciones, siendo las más comunes el hombro (articulación escapulohumeral), el codo (a nivel del húmero), la rodilla (en fémur) y el tarso (en la tibia).
Es una patología que se caracteriza por el desarrollo anormal del cartílago y el hueso subcondral de las articulaciones en crecimiento. Esto puede conducir al colapso del cartílago al someterse a las cargas de peso normales produciendo la liberación de fragmentos cartilaginosos en el interior de la articulación, además de provocar un contacto directo del líquido sinovial con el hueso subcondral, lo que motivará la aparición de inflamación, dolor, y compromiso de la movilidad articular secundaria.
Diversos factores pueden influir en la aparición de la osteocondrosis como pueden ser factores genéticos, trastornos del crecimiento, dieta inadecuada, desequilibrios hormonales y factores ambientales.
Los síntomas de la osteocondrosis pueden incluir cojera intermitente o persistente, dificultad para moverse, rigidez articular, dolor al manipular la articulación afectada, inflamación y pérdida de masa muscular. Éstos pueden ser variables dependiendo de la articulación afectada y la sensibilidad de cada paciente.
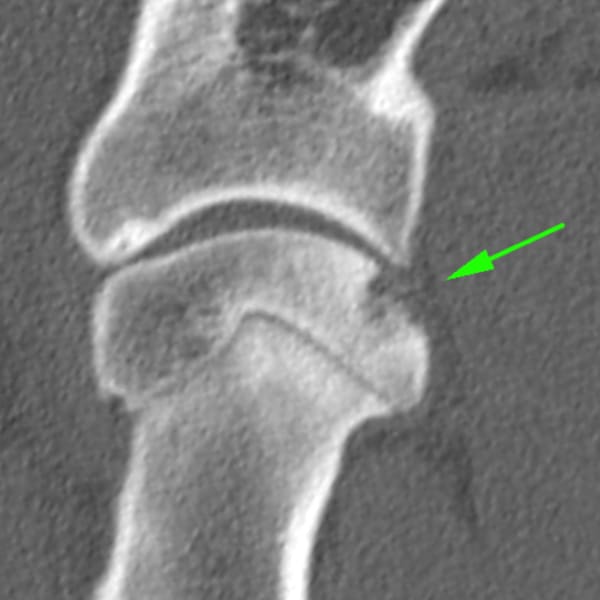
El diagnóstico de esta enfermedad se alcanza generalmente mediante la combinación de una completa exploración ortopédica y estudios de imagen como radiografías y / o tomografía computarizada.
El tratamiento dependerá de la gravedad del cuadro clínico. En casos leves se puede realizar un manejo médico conservador, enfocado a reducir la inflamación y aliviar el dolor. El mismo normalmente consta en la administración de antiinflamatorios, condroprotectoes y proporcionar reposo al paciente. En casos graves o aquellos que no respondan al tratamiento conservador, será necesario manejar de forma quirúrgica la patología, eliminando los fragmentos de cartílago libres y reparando las lesiones presentes. En muchas ocasiones a su vez se infiltran las articulaciones afectadas con plasma rico en plaquetas y ácido hialurónico.


