Hoy queremos contaros la historia de Pitu, un pequeño de apenas 3 kg y 13 años de edad. Pitu es un chihuahua que, a pesar de su tamaño diminuto, ha demostrado una fortaleza admirable.
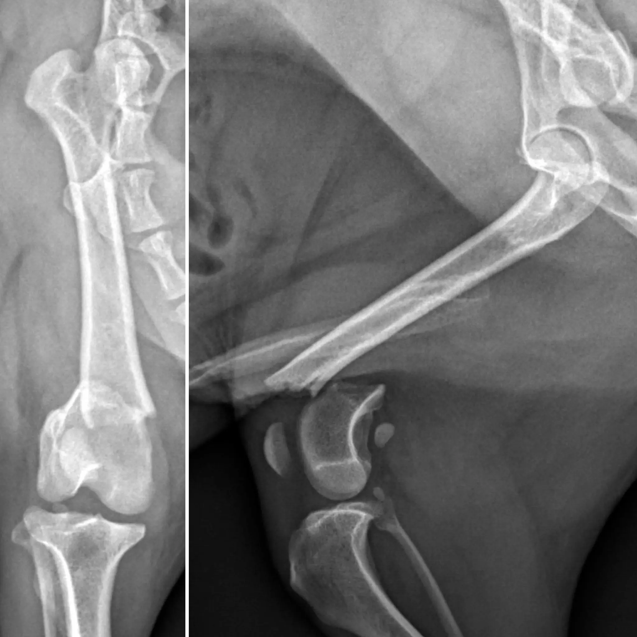
Hace unas semanas, Pitu sufrió una caída que lo dejó cojeando de su miembro pelviano derecho. Al llegar a nuestro centro, su familia estaba visiblemente preocupada, ya que el pequeño no apoyaba en absoluto el miembro afectado. Durante el examen ortopédico detectamos una inflamación severa en la región femoral, acompañada de crepitación e inestabilidad ósea, lo que indicaba una posible fractura. Además, cada manipulación generaba dolor, lo que reforzaba nuestras sospechas.

Para obtener un diagnóstico preciso, procedimos a realizar un protocolo diagnóstico completo, que incluyó un estudio radiológico. Gracias a las imágenes pudimos confirmar la causa de su cojera: Pitu presentaba una fractura metafisaria distal supracondilar del fémur derecho.

Realizamos un estudio detallado de la fractura descrita y diseñamos un plan quirúrgico mediante la utilización de un software específico. Este paso nos permite optimizar la colocación de los implantes y por tanto los resultados.

Tratamiento quirúrgico: precisión y delicadeza
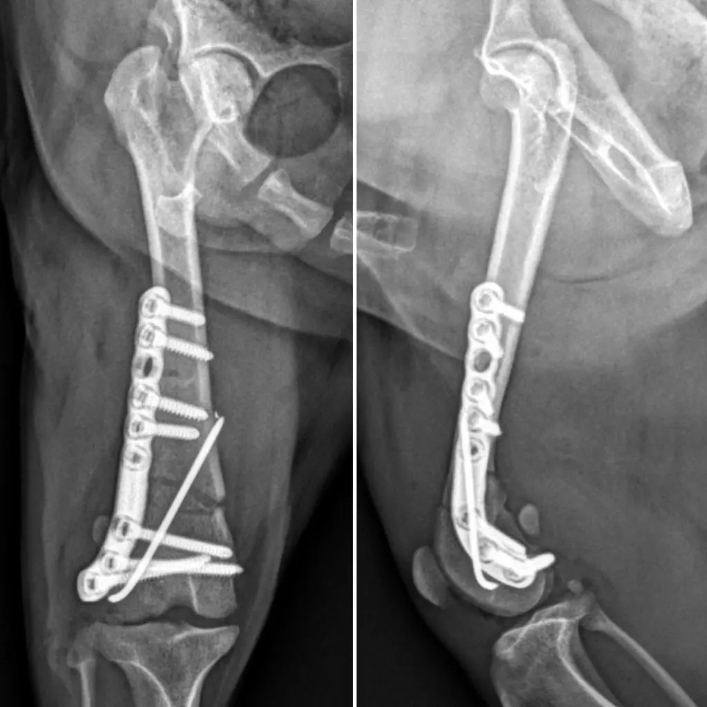
Dado el tipo de fractura y el estado de Pitu, optamos por un tratamiento quirúrgico que permitiera una correcta estabilización y una recuperación funcional del miembro afectado. Realizamos un abordaje lateral al foco de fractura y, una vez expuestos los fragmentos óseos, procedimos a su reducción.
Para mantener los fragmentos en su posición correcta de forma temporal, utilizamos una aguja de Kirschner de 1,2 mm. Posteriormente, realizamos la fijación definitiva mediante una placa de titanio y bloqueo condilar de 2 mm, un implante especialmente indicado para estos casos en animales de pequeño tamaño.
Cerramos la herida quirúrgica por planos siguiendo la técnica convencional, y finalizamos con un nuevo estudio radiológico que confirmó la correcta alineación ósea y la adecuada colocación de los implantes.



Un futuro prometedor
Actualmente, Pitu se encuentra en recuperación, con controles veterinarios periódicos y fisioterapia adaptada a su edad y condición. Su evolución está siendo muy positiva, y su espíritu alegre sigue intacto.
Esta historia nos recuerda lo importante que es actuar con rapidez ante cualquier señal de dolor o cojera en nuestras mascotas, especialmente en animales de edad avanzada. También pone de manifiesto cómo la cirugía ortopédica puede marcar una diferencia significativa en la calidad de vida de nuestros compañeros de cuatro patas.
¡Gracias, Pitu, por mostrarnos una vez más que los grandes corazones caben en cuerpos pequeños!