“Copine” es una Beagle de 5 años de edad y 18 kg de peso, que se presentó en nuestra consulta con historia de cojera severa de aparición aguda del miembro pelviano izquierdo. Durante la marcha mantenía una cojera de no apoyo del miembro afectado. A la palpación se detectó una inflamación grave de la articulación del tarso. A su vez se comprobó una acusada inestabilidad medial en dicha articulación tanto en la fase de flexión como en extensión.

Se realizaron radiografías del tarso afectado tanto en proyecciones fisiológicas como en estrés. En éstas últimas se observó un bostezo articular pronunciado en el aspecto medial, hecho que confirma la incompetencia del ligamento colateral medial del tarso.

Al tratarse de una inestabilidad severa como consecuencia de una rotura completa del ligamento descrito, la alternativa terapéutica indicada es la estabilización quirúrgica de la articulación. En este sentido existen numerosas técnicas, si bien las mas vanguardistas consisten en la sustitución protésica del ligamento afectado, colocando una prótesis ligamentosa de polietileno de ultra alto peso molecular (UHMWPE).

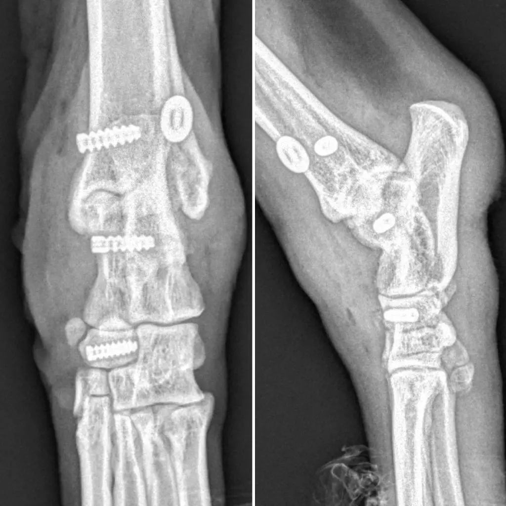
En esta ocasión esta fue la técnica empleada. El procedimiento consiste en primer lugar en crear unos túneles óseos en la región distal de la tibia, el astrágalo y el hueso central del tarso. Seguidamente a través de éstos túneles se hacen pasar los dos cabos del ligamento protésico, siendo fijados en su lugar de inserción mediante tornillos de interferencia. Gracias a ello conseguimos reconstruir completamente tanto la banda corta como larga del ligamento afectado, recuperando la estabilidad y función articular original.

Con el fin de ejecutar los túneles y colocar los tornillos de una manera precisa, empleamos un fluoroscopio para verificar intraquirúrgicamente su disposición.

Al finalizar el procedimiento y cerrar el abordaje quirúrgico por planos, comprobamos radiológicamente la correcta ubicación de los implantes, así como la estabilidad definitiva de la articulación, tanto en flexión como en extensión.

Tras unas semanas de reposo y vendajes, Copine se ha recuperado completamente y actualmente vuelve a desarrollar su actividad física normal sin secuelas.
