Blog casos clínicos
Este blog es un espacio para el bienestar animal, entrelazado con conocimientos especializados en traumatología. Conoce cómo la dedicación y la ciencia se combinan para transformar vidas y devolver la felicidad a nuestros fieles amigos.

Clínica veterinaria especializada en traumatología y ortopedia en Valencia
Desde hace más de una década, he dedicado mi carrera exclusivamente a la traumatología y ortopedia veterinaria. Esta especialidad exige precisión, experiencia y una actualización

La historia de Nano: sobreviviendo a un atropello.
Hoy queremos contaros la historia de Nano, un pequeño Chihuahua de apenas 2 kg y 5 años de edad. Nano sufrió un grave atropello de

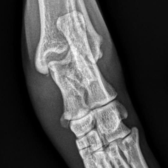
La historia de Pitu: valentía en miniatura
Hoy queremos contaros la historia de Pitu, un pequeño de apenas 3 kg y 13 años de edad. Pitu es un chihuahua que, a pesar

¿Cuándo necesita tu perro un traumatólogo veterinario?
Una de las preguntas más comunes que escucho es cuándo es necesario visitar al traumatólogo veterinario. Muchas veces, los problemas articulares en perros pasan desapercibidos.

Ortopedia avanzada para mascotas. Soluciones para su bienestar
La salud de las articulaciones y huesos de nuestras mascotas es clave para que tengan una vida feliz y activa. En Valencia, la ortopedia avanzada

“COPINE”. Rotura del ligamento colateral medial del tarso. Sustitución protésica.
“Copine” es una Beagle de 5 años de edad y 18 kg de peso, que se presentó en nuestra consulta con historia de cojera severa

“LEO”. Osteosarcoma de radio manejado mediante técnica Limb Sparing.
“Leo” es un Mastín Español de 5 años de edad y 64 kg de peso, que se presentó en nuestra consulta con historia de cojera

Casos clínicos: paciente, Tobby.
“Toby” es un cachorro de Ratonero Valenciano de 4 meses de edad y un peso de 5 kg. Tras un pequeño accidente doméstico en el